ဗြိတိန်က တီဘီရောဂါတိုက်ဖျက်ရေး
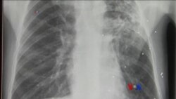
အဆုပ်နာရောဂါ (TB) ပျံ့နှံ့ဖြစ်ပွားတာနဲ့ ရောဂါ ဆေးမတိုးတော့တဲ့ အခြေအနေတွေ တိုးလာနေတဲ့အပေါ်မှာ စိုးရိမ်ရတဲ့အတွက် ဗြိတိန်ကျန်းမာရေး အရာရှိတွေဟာ ဒေါ်လာ သန်းပေါင်းများစွာ ကုန်ကျမယ့် ဒီရောဂါ တိုက်ဖျက်နိုင်ရေး လှုပ်ရှားမှုတရပ်ကို စတင်လိုက်ပါတယ်။ အေပီ သတင်းဆောင်းပါးတပုဒ်ကို မခင်ဖြူထွေးက တင်ပြထားပါတယ်။
ဗွီဒီယို ကြည့်ရှုရန်
-
၁၄ မတ်၊ ၂၀၂၅ကင်ဆာကြောင့် ရင်သားဖြတ်ထုတ်ရသူတွေအတွက် အတွင်းခံ
-
၁၃ မတ်၊ ၂၀၂၅ယူကရိန်းစစ်ရပ်ဖို့ ရုရှားဘက်က လိုက်လျောနိုင်ခြေ
-
၁၃ မတ်၊ ၂၀၂၅အမေရိကန် အကူအညီနဲ့ ရိုက်ခတ်မှု
-
၁၂ မတ်၊ ၂၀၂၅ယူကရိန်းစစ် အဆုံးသတ်ရေး ခြေလှမ်းသစ်
-
၁၂ မတ်၊ ၂၀၂၅လူကြည့်များဆိုရှယ်မီဒီယာ သတင်းတို